Dragonfly-Med Model Card
Note: Users are permitted to use this model in accordance with the Llama 3.1 Community License Agreement. Additionally, due to the licensing restrictions of the dataset used to train this model, which prohibits commercial use, the Dragonfly-Med model is restricted to non-commercial use only.
Model Details
Dragonfly-Med is a multimodal biomedical visual-language model, trained by instruction tuning on Llama 3.1.
- Developed by: Together AI
- Model type: An autoregressive visual-language model based on the transformer architecture
- License: Llama 3.1 Community License Agreement
- Finetuned from model: Llama 3.1
Model Sources
- Repository: https://github.com/togethercomputer/Dragonfly
- Paper: https://arxiv.org/abs/2406.00977
Uses
The primary use of Dragonfly-Med is research on large visual-language models. It is primarily intended for researchers and hobbyists in natural language processing, machine learning, and artificial intelligence.
How to Get Started with the Model
πΏ Installation
Create a conda environment and install necessary packages
conda env create -f environment.yml
conda activate dragonfly_env
Install flash attention
pip install flash-attn --no-build-isolation
As a final step, please run the following command.
pip install --upgrade -e .
π§ Inference
If you have successfully completed the installation process, then you should be able to follow the steps below.
Question: Provide a brief description of the given image.
Load necessary packages
import torch
from PIL import Image
from transformers import AutoProcessor, AutoTokenizer
from dragonfly.models.modeling_dragonfly import DragonflyForCausalLM
from dragonfly.models.processing_dragonfly import DragonflyProcessor
from pipeline.train.train_utils import random_seed
Instantiate the tokenizer, processor, and model.
device = torch.device("cuda:0")
tokenizer = AutoTokenizer.from_pretrained("togethercomputer/Llama-3.1-8B-Dragonfly-Med-v2")
clip_processor = AutoProcessor.from_pretrained("openai/clip-vit-large-patch14-336")
image_processor = clip_processor.image_processor
processor = DragonflyProcessor(image_processor=image_processor, tokenizer=tokenizer, image_encoding_style="llava-hd")
model = DragonflyForCausalLM.from_pretrained("togethercomputer/Llama-3.1-8B-Dragonfly-Med-v2")
model = model.to(torch.bfloat16)
model = model.to(device)
Now, lets load the image and process them.
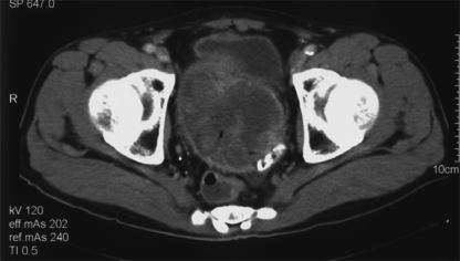
image = Image.open("ROCO_04197.jpg")
image = image.convert("RGB")
images = [image]
# images = [None] # if you do not want to pass any images
text_prompt = "<|start_header_id|>user<|end_header_id|>\n\nProvide a brief description of the given image.<|eot_id|><|start_header_id|>assistant<|end_header_id|>\n\n"
inputs = processor(text=[text_prompt], images=images, max_length=1024, return_tensors="pt", is_generate=True)
inputs = inputs.to(device)
Finally, let us generate the responses from the model
temperature = 0
with torch.inference_mode():
generation_output = model.generate(**inputs, max_new_tokens=1024, eos_token_id=tokenizer.encode("<|eot_id|>"), do_sample=temperature > 0, temperature=temperature, use_cache=True)
generation_text = processor.batch_decode(generation_output, skip_special_tokens=False)
An example response.
Computed tomography scan showing a large heterogenous mass in the pelvis<|eot_id|>
Training Details
See more details in the "Implementation" section of our paper.
Evaluation
See more details in the "Results" section of our paper.
π Credits
We would like to acknowledge the following resources that were instrumental in the development of Dragonfly:
- Meta Llama 3.1: We utilized the Llama 3 model as our foundational language model.
- CLIP: Our vision backbone is CLIP model from OpenAI.
- Our codebase is built upon the following two codebases:
π BibTeX
@misc{thapa2024dragonfly,
title={Dragonfly: Multi-Resolution Zoom-In Encoding Enhances Vision-Language Models},
author={Rahul Thapa and Kezhen Chen and Ian Covert and Rahul Chalamala and Ben Athiwaratkun and Shuaiwen Leon Song and James Zou},
year={2024},
eprint={2406.00977},
archivePrefix={arXiv},
primaryClass={cs.CV}
}
Model Card Authors
Rahul Thapa, Kezhen Chen, Rahul Chalamala
Model Card Contact
Rahul Thapa (rahulthapa@together.ai), Kezhen Chen (kezhen@together.ai)
- Downloads last month
- 13
